March 2025
MARCH 2026 EMAIL NEWSLETTER
European Federation of Societies for Ultrasound in Medicine and Biology
EUROSON 2026, Lublin Poland
 
EUROSON 2026: Advancing Ultrasound Practice in Lublin, Poland

The EUROSON 2026 Congress is set to be a leading international forum for clinicians, researchers, and industry experts dedicated to medical ultrasound. Organised under the auspices of the European Federation of Societies for Ultrasound in Medicine and Biology, the event will showcase the latest scientific advances, technological innovations, and clinical applications of ultrasound across a broad spectrum of specialties. Bringing together a global faculty and diverse audience, EUROSON 2026 will provide a dynamic platform for collaboration, knowledge exchange, and professional networking in an ever-evolving field.
 
The EUROSON 2026 programme presents a comprehensive and multidisciplinary overview of contemporary ultrasound practice, bringing together experts across a wide range of clinical specialties. 

The scientific content is structured to highlight both foundational principles and cutting-edge innovations, with sessions covering diagnostic imaging, interventional ultrasound, and emerging technologies. Through plenary lectures, expert-led sessions, and interactive discussions, the programme emphasises the integration of novel techniques into routine clinical workflows while maintaining a strong focus on evidence-based practice and patient-centred care. 
 
In addition, the programme places significant emphasis on education and practical skill development, incorporating hands-on workshops, case-based learning, and dedicated sessions for young investigators. This approach supports knowledge exchange between experienced clinicians and early-career researchers, fostering collaboration and continuous professional development. By combining scientific innovation with practical training, the EUROSON 2026 programme aims to advance the safe and effective use of ultrasound across medical disciplines and promote its evolving role in modern healthcare.
 
STUC 2026

The Young EFSUMB Organizing Committee is pleased to invite you to STUC 2026 – The Student Ultrasound Congress, which will take place on June 10–11, 2026, at the Medical Simulation Center in Lublin, Poland.
 

Organized as part of Euroson 2026 – The European Ultrasound Congress, STUC 2026 is an international event dedicated to medical students with an interest in ultrasound education and practice. 

The two-day program will feature:

  • Lectures delivered by leading experts in medical ultrasound
  • Hands-on workshops utilizing modern ultrasound technology
  • Clinical case presentations highlighting diagnostic applications (abstract submissions)
  • Interactive competitions offering valuable learning opportunities and awards

STUC 2026 provides a unique platform for participants to deepen their knowledge, enhance their practical skills, and engage with a community of peers and mentors from across Europe. The event is designed to accommodate both beginners and those with prior experience in ultrasound.

Young Investigator and Best Published Paper Prizes 
 
The Young Investigator Award Sessions take place for the 2025 and 2026 prizes and the Best Published Paper Prize will  be announced at EUROSON 2026, highlighting outstanding research and innovation within the ultrasound community. The Young Investigator Award recognises emerging talent and excellence in scientific presentation, with the winners receiving €3,000. These awards represent key highlights of the EUROSON 2026 programme and underscore EFSUMB’s commitment to supporting excellence in research.
 
Young EFSUMB at ECR
The Young EFSUMB Committee showcased its dynamic and forward-looking initiatives during its session at ECR, emphasising collaboration, education, and engagement with the next generation of ultrasound practitioners. A key focus was strengthening partnerships with international organisations such as WFUMB, EASL, and ESR, with the aim of harmonising publications and expanding access to shared online educational resources.
 
Key topics included the expansion of educational opportunities such as hands-on courses, webinars, and the Student Ultrasound Congress, as well as efforts to build an international network connecting young practitioners. The speakers also underlined the importance of integrating ultrasound into medical curricula and promoting innovation through research and multidisciplinary collaboration—an approach aligned with EFSUMB’s broader commitment to advancing ultrasound education and practice.
 
Supporting students remains central to the committee’s mission. Plans include the development of a core ultrasound curriculum, student summer schools, webinars, and the continued expansion of the Student Ultrasound Congress (STUC). The session demonstrated the committee’s commitment to building a strong, connected community while promoting high standards in ultrasound education, research, and safety across Europe.

Latest Journal Club Entries

Physical examination before diagnostic ultrasonography: Alive and kicking or a relic of the past?

Eur J Radiol. 2025 Dec;193:112431. doi: 10.1016/j.ejrad.2025.112431


Authors:

Andreea M Pavel, Yuki Arita, Ömer Kasalak, Thomas C Kwee.

Objectives:

To investigate how often physicians perform physical examination prior to referring patients for diagnostic ultrasonography (US).

To investigate whether its omission affects clinical reasoning quality or diagnostic yield..

 

Methods:

Prospective study.

Patients who underwent diagnostic US at the department of radiology of the University Medical Centre Groningen (a tertiary care academic centre in the Netherlands) between 5 December 2024 and 10 April 2025, were asked whether their referring physician had performed a physical examination.

Patient demographics, referring specialty, healthcare professional, US indication, and anatomical region were recorded.

Clinical reasoning quality was defined as the alignment between clinically suspected and US findings. US outcomes were classified as positive, negative, or indeterminate.

Associations with omission of physical examination were analysed using multivariate regression.

 

Results:

302 patients were included (median age: 56 years; 48 % male).

Physical examination was omitted in 168 cases (55.6 %). Of all exams, 51 % were positive.

Omission was less likely in referrals from surgical specialties (OR 0.490, P = 0.032), family medicine (OR 0.253, P = 0.016), and residents (OR 0.303, P < 0.001), as well as in cases of new complaints (OR 0.226, P < 0.001) and head and neck US (OR 0.261, P < 0.001).

Omission was marginally associated with lower clinical reasoning scores on univariate analysis (P = 0.050), but not after adjustment.

Omission of physical examination showed a trend toward lower diagnostic yield (P = 0.059), but was not significant after adjustment.

 

Conclusion:

Physical examination was frequently omitted before US referral. While initially linked to reduced clinical reasoning and diagnostic yield, these associations did not remain significant after adjustment, suggesting no clear impact on diagnostic outcomes.

 

Key points:

Physical examination before US is omitted in more than half of the cases, challenging the traditional view of physical assessment as a diagnostic cornerstone.

This omission physical examination does not necessarily compromise diagnostic reasoning or reduce the detection of relevant pathology. The diagnostic utility of physical examination may be low in some clinical contexts, allowing physicians to omit it.

The higher rates of physical examination appear on specific settings:

  1. Patients with new complaints likely due to the greater diagnostic uncertainty in these cases.
  2. Head and neck US probably due to the physical accessibility of this region.
  3. Extremities. Here, prior physical examination were significantly associated with higher clinical reasoning quality probably because here, physical findings are the reason to request the US.

 

Link (DOI): 10.1016/j.ejrad.2025.112431

Ultrasound. Physical Exams

 

Short-Review by:

Prof. Dr. Jose Luis del Cura

Department of Radiology

Donostia University Hospital

Spain

 

Strengths:

Prospective. Topic that everyone talks about informally but that has rarely been studied. Include a multivariate regression addressing all the relevant potential confounders.

 

Weaknesses:

Small series. Performed in only one centre, and specifically in a radiology department, which could mean that its conclusions are not valid in other settings, and especially for POCUS exams. Data were based on patient self-reporting, which may be subject to recall bias. The quality and thoroughness of the physical examinations performed were not assessed.

 

Personally thinking:

Although probably biased and probably not generalizable to other healthcare settings or populations, the study addresses a topic that has rarely been studied but is relevant to the organization and protocols of healthcare services.

The results suggests that:

  1. Previous physical exam can be omitted as a requisite to perform US.
  2. US has evolved from a tool used to assess previous findings in the patient's history or physical examination to a routine stage of triage for any patient. Kind of screening tool to be performed in every case sometimes without an specific aim. Therefore, any effort aimed at limiting the workload by reducing the number of scans by acting on the indications for ultrasound is doomed to failure.

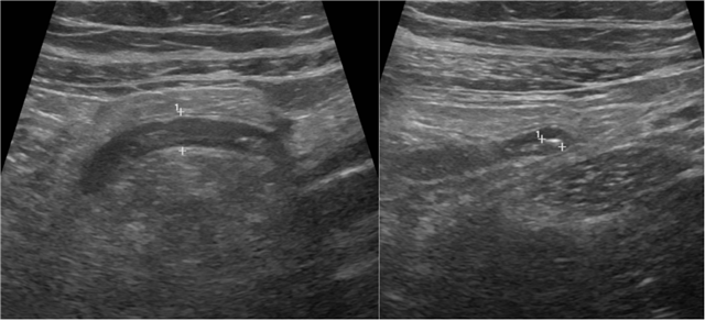
Latest Student Image Challenge

Student Image Challenge #112

 

Case:    Patient, 25 years old, comes to the ER with diffuse abdominal pain, slightly elevated temperature of 37.5°C and no previous history of medical issues.
The doctor orders an abdominal ultrasound, and here is what you see.

 

EUROSON SCHOOL: London Adult CEUS 

1-2 July 2026

EFSUMB Statistical Reports

November 2025 - March 2026

The latest report presents a four-month statistical analysis of activity on the EFSUMB website, showing steady growth in user engagement, content usage, and outreach.

 

Overall page views increased across most sections, with the homepage remaining the most visited and continuing to rise (over 900,000 views in the latest period, about a 5% increase), while webinar archives, guidelines, and course materials also saw consistent gains, indicating strong demand for educational resources. Membership engagement remains high, with over 16,000 members and a substantial proportion actively using the platform, alongside continued growth in mailing lists and paid memberships. Social media performance improved markedly, with significant increases in reach and engagement across platforms such as Facebook, X, LinkedIn, and Instagram. Webinars attracted solid participation and continued viewership after events, further supporting learning dissemination.

Overall, the results highlight sustained expansion in global reach, user interaction, and digital education impact, demonstrating the organisation’s growing influence and effective online engagement strategy.


View the full statistical report on the EFSUMB web site >

Best Case of the Month

Winners Announced

We are pleased to announce the latest Best Case of the Month winner and runner-up.

 

The first prize has been awarded to Dr Neil Limaye (UK) for his case, “Beyond the Visible Borders: Imaging Clues in an Infiltrative Subcutaneous Tumour,” [view here] published on the EFSUMB website in December 2025. Dr Limaye will receive the €200 first prize.

 

The runner-up is Andrei Motofelea (Romania) for the case “When the Pressure Builds: A Silent Abdominal Catastrophe,” [view here] published in December 2024. He will receive the €100 runner-up prize.

 

Congratulations to both recipients for their excellent contributions.

UPCOMING EUROSON SCHOOLS

EFSUMB Guidelines Update

The following Guidelines have been released:

Congratulations to all authors for these latest released papers.

 
We are also delighted to announce that the Testes Guidelines publication is imminent and there is an update to CEUS Non-Hepatic Applications led by Professor Adrian Lim to be published later this year.
 
INVUS Update of 2015 guidelines is underway to be published as two papers
 - Percutaneous diagnostic and therapeutic interventions: led by Dean Huang and Christoph Dietrich
- Endoscopic ultrasound diagnostic and therapeutic interventions: led by Pietro Fusaroli and Christian Jenssen
 

UPCOMING ENDORSED COURSES

UPCOMING WEBINARS
Click on the banners to view >
WEBINAR RECORDINGS
2026 Update on Vascular CEUS Indications: where do we stand?
 
View the presentations below ...
 

Missed a webinar event?

View our Webinar archive for links to all of the webinar presentations from recent events.
 
EFSUMB FUTURE CONGRESS NEWS
WFUMB CONGRESS 2027
FOR WORLDWIDE ULTRASOUND NEWS - VIEW ECHOES

Echoes, the official newsletter of the World Federation for Ultrasound in Medicine and Biology, is a regularly published communication that keeps the global ultrasound community informed about the federation’s latest activities, educational initiatives, and international collaborations. Released quarterly, it features updates on WFUMB congresses, reports from Centres of Education, new guidelines and publications, as well as interviews and highlights from across its member societies. Echoes serves as an important platform for sharing knowledge, promoting best practice, and connecting ultrasound professionals worldwide.

 
 
View this email in your browser
You are receiving this email because of your relationship with EFSUMB. Please reconfirm your interest in receiving emails from us. If you do not wish to receive any more emails, you can unsubscribe here.

EFSUMB. PO Box 72718 , London, LONDON SW19 9HD, United Kingdom